Your reliable
Family & Emergency Dentists in Geelong West
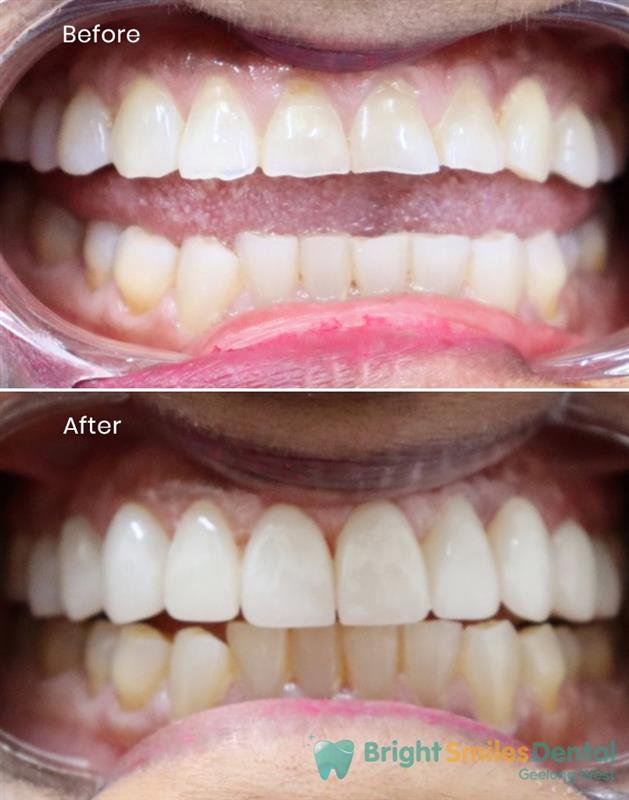
Get comprehensive dental support for your oral care from the best dentist in Geelong West Bright Smiles Dental
Payment Options





We are here for your care
Preferred Provider For Bright Smiles





Payment Options
About Our Dentist
At Bright Smiles Dental in Geelong West, we offer trusted, compassionate, and advanced dental care for the whole family. Led by Dr. Satvinder Kaur, our experienced team provides a full range of services—from general dentistry to implants and cosmetic treatments—in a safe, hygienic, and patient-focused environment.














Check up & Clean
$180 or Gap free
- Comprehensive dental assessment.
- Expert cleaning and polishing.
- Application of fluoride V.
- Guidance on oral hygiene.
THE SEQUENCE
Oral Care In Simple Steps
Get Connected
Contact us using email or our contact number. You can choose the option which is suitable for you to connect.
Initial consultation
Our qualified staff will listen to all your oral care needs carefully and examine the options that will be helpful for you.
Desired Service
A professional dentist will provide you with the desired dental treatment you need to keep your teeth and smile bright to keep you shining.
Blogs and Articles
Video Testimonials
Our Clients Have
Something To Say
Jeanie Irving
3 months ago
So grateful I was able to see Dr Savi so quickly. As a first-time patient, I felt instantly at ease. She was calm, friendly, professional, and very helpful. Her assistants were equally welcoming and made the visit feel relaxed and stress free. I don’t know why I put this appointment off for so long. A great experience, especially if you’re nervous or new to the practice. Five stars, very well deserved.
Shaam Nundlall
4 months ago
Doctor Savi went above and beyond to ensure that my procedure of porcelain veneers gave me a million dollar smile. I’m ecstatic and grateful to her for her meticulous service and care.
Victoria Barton
4 months ago
Very lovely experience. Gentle and kind. They were all lovely to the entire family. Highly recommend
Sarah Beggs
4 months ago
I went in after a filling fell out and my usual dentist couldn’t fit me in, so I found this clinic online and I’m really glad I did. They were able to fit me in quickly, which was a huge relief.
I was pretty stressed about the filling coming out, but everyone was so calm, kind, and gentle that I felt at ease straight away. They explained everything clearly, gave me a few options, and made sure I was comfortable the whole time.
The care was very thorough and the pricing was reasonable. Really professional and friendly team. I would definitely recommend them. Thank you 🙏
I was pretty stressed about the filling coming out, but everyone was so calm, kind, and gentle that I felt at ease straight away. They explained everything clearly, gave me a few options, and made sure I was comfortable the whole time.
The care was very thorough and the pricing was reasonable. Really professional and friendly team. I would definitely recommend them. Thank you 🙏
Karen Mcquitty
4 months ago
Highly recommend Savi from bright smiles.l came to her for my composite veneers. I am so very happy.
Craig Duncan
6 months ago
Had implants with Dr Savi, I’m very happy. She listened to all my questions and concerns and addressed them all. Highly Recommend. Friendly staff and customer service.
Alli B
6 months ago
The team at Bright Smiles Dental Geelong West were amazing. Dr Savi was so kind and gentle and my crown was done seamlessly. Highly recommend this practice 😀
lovepreet virk
7 months ago
I had an amazing experience with this dental team! They were super knowledgeable and always happy to help with any questions or concerns I had. The customer service was fantastic, with a friendly and welcoming team who made me feel right at home. I highly recommend them to anyone looking for top-notch dental care! Thanks for looking after my teeth so well!
Sam Sam
8 months ago
I recently had a root canal done at this clinic and couldn’t be more satisfied. The team was professional, caring, and made the whole process smooth and pain-free. The treatment cost was very reasonable for the quality of care provided. Highly recommend.
Joshua Ryan
8 months ago
Thorough and gentle. Satvi genuinely cares and is gentle in disposition and wellbeing minded while giving insightful advice and analysis. You can sense her passion for holistic patient welfare.
Best experience at a dentist that I’ve had.
Best experience at a dentist that I’ve had.
Diana P Gómez P
8 months ago
I couldn’t be happier with the care I’ve received from Dr. Satvinder and the entire team. From the moment I walked in, I felt welcomed and at ease. Everything was explained to me clearly, and they made sure I was comfortable throughout the whole process. The clinic is modern, spotless, and very well-organize
Amy Dang
9 months ago
Dr Savi and staffs were wonderful! She was very knowledgeable and always happy to answer my questions or concerns. I had my clear aligners done and they look amazing, very happy with the results. The customer service was great and super friendly staffs, I highly recommend them! Thanks for looking after my teeth!
Marie O'Dell
9 months ago
Dr Satvinder Kaur is an excellent dentist. She is caring, has good attention to detail and competitive prices. I highly recommend her practice.
Kelly M
9 months ago
After putting off having my teeth cleaned for so long I had a lot of anxiety coming into this appointment but the team put me at ease. Savi was wonderful in explaining each step and was gentle and caring. I'll definitely be back for my regular checkups now!
manpreet datt
10 months ago
Got a crown fitted recently and I’m so impressed with Dr. Savi’s work! I thought the tooth would have to be removed as it was half broken, but she managed to save it with great skill. I didn’t even feel any pain during the procedure — that’s how gentle and professional she is. Truly grateful for her excellent care!
Jess Pisana
11 months ago
Such a wonderful dental clinic! Dr Satvinder and her team do so much to make sure you feel comfortable and well informed in what they’re doing. They have been brilliant in understanding my concerns and explaining the options I have for my teeth, while providing the upmost care. Further, they are super helpful in booking appointments and charge extremely reasonable prices. They truely make going to the dentist a dream!
Nat And
12 months ago
Fantastic staff. Savi is amazing, gentle and thorough. Providing a really top service. She is my new dentist now I have decided.
Maninder Sharma
1 year ago
I would highly recommend Geelong West Bright Smiles Dental practice. The clinic was nice and clean with the friendly staff. Dr Satvinder is efficient, gentle and reassuring. she makes sure to put you at ease and feel comfortable. All the procedures were explained to me and she took care to get everything right. She’s my dentist forever!!
Jason Reardon
1 year ago
I've spent a lot of time in the dentist chair and I have got to say Doctor Savi and her team are one of the best. She is incredibly caring towards her patients, a very good communicator and transparent when it comes to things like procedures and pricing. Highly recommend.
Deeksha Mantrau
1 year ago
Had a great experience with Dr. Satvinder Kaur. She was thorough and very gentle with my teeth. Had my shiny teeth in quick time. The space was nice and clean with a friendly staff.
She was so good with the kids too. She explained the tooth cleaning process so nicely that my boys are happily brushing twice a day and minding their eating habits. Couldn’t ask for more.
Definitely going back and highly recommend her!
She was so good with the kids too. She explained the tooth cleaning process so nicely that my boys are happily brushing twice a day and minding their eating habits. Couldn’t ask for more.
Definitely going back and highly recommend her!
Ajaib Singh
1 year ago
Came here for root canal treatment.
Treatment completed today and was very happy with prices and treatment provided. Highly recommend. Thanks Dr Savi.
Treatment completed today and was very happy with prices and treatment provided. Highly recommend. Thanks Dr Savi.
jagjit singh
1 year ago
I had an excellent experience with Dr. Savi. I came in with a broken tooth, and she saved the tooth and also placed a crown on top. The entire process was smooth, and I felt comfortable throughout. I’m grateful for their expertise and highly recommend their services!
Rutendo Mhembere
1 year ago
I am happy to say this dental clinic is the best. My husband referred me to Dr Savi and like always she didn't disappoint, she did an excellent job. Keep up the good work!
Kylie Bertram
2 years ago
Dr. Savi has taken over from our family Dentist at this location (F47, M54, F12 and M10) and the transition has been extremely smooth. Her whole team at Bright Smiles are so capable, kind and professional.
We would recommend this practice to anyone who needs an experienced Dentist who will go the extra mile to make you feel at ease, understands budgeting, and can take care of all of your family's dental needs.
We would recommend this practice to anyone who needs an experienced Dentist who will go the extra mile to make you feel at ease, understands budgeting, and can take care of all of your family's dental needs.
Adam
2 years ago
Awesome service, highly recommended!
Sarah Brown
2 years ago
Fantastic experience. Highly recommend, especially if you're an anxious patient like me.
wafa usman
2 years ago
I recently visited Dr. Savi at her clinic, and I found her to be very professional and humble. Her staff is also extremely cooperative. She is very polite, and the fee is quite reasonable. I highly recommend Dr. Savi.
Nicole M
2 years ago
Great service and calming presence. Thank you Dr Savi and your fabulous team.
Ian Royce
2 years ago
Had a clean up and whitening and was just thrilled with the experience.
cloudius sithole
2 years ago
Had a check up and clean with Dr Satvinder Kaur, she was so good caring and it was not hurting at all.
MANPREET KAUR
2 years ago
Hey, I am Manpreet kaur.
Its my first time that I am giving my feedback on the site because I can’t stop myself to do that. I don’t know from where should I start to tell everyone that you are the best Dr. Savi😊.
"I had a tooth surgery two days before with Dr. Savi, and I couldn't be more grateful for the exceptional care I received. From the moment I walked in, Dr. Savi was so attentive, patient, and reassuring. She took the time to explain everything to me before, during, and after the procedure, making sure I felt comfortable and well-informed throughout the entire process. Her compassionate and skilled approach made the surgery much smoother than I had anticipated.
I also want to give a special thank you to Christin, the wonderful staff member who assisted during my visit. She was incredibly kind, helpful, and always checking in to make sure I was comfortable. Her professionalism and warmth truly stood out, and it made a big difference in my overall experience.
I am deeply appreciative of Dr. Savi and Christin for making this experience as positive as possible. I highly recommend them to anyone looking for top-notch dental care."
Thank you so much to the whole team.
Thank you Dr. Savi for taking care of me.
Its my first time that I am giving my feedback on the site because I can’t stop myself to do that. I don’t know from where should I start to tell everyone that you are the best Dr. Savi😊.
"I had a tooth surgery two days before with Dr. Savi, and I couldn't be more grateful for the exceptional care I received. From the moment I walked in, Dr. Savi was so attentive, patient, and reassuring. She took the time to explain everything to me before, during, and after the procedure, making sure I felt comfortable and well-informed throughout the entire process. Her compassionate and skilled approach made the surgery much smoother than I had anticipated.
I also want to give a special thank you to Christin, the wonderful staff member who assisted during my visit. She was incredibly kind, helpful, and always checking in to make sure I was comfortable. Her professionalism and warmth truly stood out, and it made a big difference in my overall experience.
I am deeply appreciative of Dr. Savi and Christin for making this experience as positive as possible. I highly recommend them to anyone looking for top-notch dental care."
Thank you so much to the whole team.
Thank you Dr. Savi for taking care of me.
Charles Clancy
2 years ago
Teeth whitening went well, took a couple hours but good results and they’ve assured me it’s safe as to not affect enamel etc. Would go back
trista Irwin
2 years ago
Me and my children have attended this clinic recently and have had a fantastic experience. Extremely lovely and wonderful with the children. Definitely recommend 👌
Paul Broekman
2 years ago
I recently had my first appointment with Dr. Savi at Bright Smiles Dental, Geelong West. The experience was exceptional. It was easy to schedule an appointment, and I appreciated the minimal wait time. From the moment I walked in, I was greeted with a warm smile, which set a positive tone. Dr. Savi's professionalism, along with her kind and reassuring manner, made me feel at ease throughout the entire visit. Her assistant was equally attentive, and together, they ensured I was comfortable. I left feeling confident in their care, and I’m happy to say I’ll definitely be a returning patient. Highly recommend!
Pawan
2 years ago
Got teeth whitening done. Prices were very reasonable and happy with the outcome. Recommend anyone looking for teeth whitening services
Aileen Connors
2 years ago
Great service. Wonderful team. Would recommend.
joel mundy
2 years ago
Ben Riley
2 years ago
Really good - very friendly and extremely thorough!
Wayne
2 years ago
Could not be happier. Staff are friendly and so caring. They are prepared to take extra time to ensure you are happy with the results. Good prices are a bonus. I highly recommend Geelong West Bright Smiles.
Elissa Sullivan
2 years ago
Absolutely love love my new smile!! Amazing porcelain veneers with exceptional quality and excellent service… will be having all my dental work done here now thank you team at Bright Smiles Dental
Janet Elizabeth
2 years ago
As a new patient at Bright Smiles Dental Geelong West my experience was A+
Doctor Savi and her staff were totally professional and went above and beyond to make my visit comfortable. No pressure regarding appointments or procedures and the most reasonable bill received. Highly recommended.
Doctor Savi and her staff were totally professional and went above and beyond to make my visit comfortable. No pressure regarding appointments or procedures and the most reasonable bill received. Highly recommended.
Molly G
2 years ago
Happy with the treatment my husband and myself received from Dr. Savi. She was gentle and explained to us the procedure she was doing to help calm us down. Staff were friendly and helpful. Would recommend Dr. Savi to anyone looking for a good dentist.
Sophie Brown
2 years ago
Dr Savi is amazing. I had a check up and clean and was nervous. She was so gentle and told me everything she was doing to put my mind at ease. She’s the best dentist I’ve seen, highly recommend.
calm vibration
2 years ago
I give this dental clinic 5 stars for their excellent service 👌
I have been to several different dentist in geelong area, but I highly recommend bright smiles dental. The staff are very understanding and compassionate and amazing to work with! ⭐️⭐️⭐️⭐️⭐️
I have been to several different dentist in geelong area, but I highly recommend bright smiles dental. The staff are very understanding and compassionate and amazing to work with! ⭐️⭐️⭐️⭐️⭐️
Amarjit Singh
2 years ago
Dr. Savi is an excellent dentist in Geelong West, Bright Smiles Dental. Had a Root Canal there and they ensured I was comfortable throughout the whole treatment & managed my pain so well. All staff there is very friendly.I highly recommend it to anyone seeking quality dental care. Thank you very much Dr Savi and team.
Ali Sharifi
2 years ago
Thanthila Suphattharasakda
2 years ago
I would recommend this dental clinic to all my family and friends. Dr.Savi is very kind and give good advice. She was very gentle during check up and clean my teeth. I am very happy to choose this dental clinic for my family.
gagan kaur
2 years ago
Dr Savi made time for me instantly when I called them explaining my mum having tooth ache since last 2 days. From the moment, we entered their clinic, they were so friendly, professional and explaining all details of treatment . The level of care we received was incredible. My mother was so comfortable with her, she is amazing person. .Highly recommend. You will be my permanent spot for any dental work for my family. Thank you so much guys Savi & Mandeep.
Melissa Stanley
2 years ago
Would highly recommend. I was so self conscious about my smile and the team at bright smiles were amazing and really made me feel comfortable. I had a very turmeric experience with another dentist and they have made me feel positive to going to the dentist again as well as I have a beautiful smile.! 😁😁
Natalie Horman
2 years ago
The dentist was very kind and understanding of my sensitive teeth. She worked patiently and adapted to my needs as we went. They are wonderful with payment, and will accommodate what is covered by your private health or Medicare.
Isaac Ayres
2 years ago
Great service and very friendly staff
Dulani Fernando
2 years ago
As a person who got dental anxiety, my dental visit was such a relief! Dr.Satvinder Kaur is very friendly and provides a lot of feedback back and knowledge about your dental status.
I'm so glad I booked Geelong West Bright Smiles Dental! I'm sure to be back again.
I'm so glad I booked Geelong West Bright Smiles Dental! I'm sure to be back again.
Cupoftea
2 years ago
Dr Satvi was amazing, very caring, the best for a root canal, I deeply appreciate her having happy gas available in her clinic. Amazing staff. - Monica
Marc Mundy
2 years ago
Dr Savi is great. Very gentle and keeps checking in how you're feeling throughout. Kind, friendly and I feel well informed and looked after. And great tooth whitening is a bonus!
Margery Smith
2 years ago
I received excellent service and advice from Dr Savi and the team. Thanks so much, I would highly recommend Geelong West Bright Smiles Dental
freya mcgonigal
2 years ago
Amazing service! Open on Sundays, very convenient for emergency care
Scarlett Reeve
2 years ago
Amazing experience. My teeth are noticeably whiter. Dr Satvainder Kaur was very friendly and explained the process clearly. Very happy with the results. Fell asleep in the chair .
Megan Budd
2 years ago
Awesome dentist. Patient and understanding. If you are looking for a convenient and wonderful dentist, please consider booking here. Thankyou team. 🙏❤️
Scotti Reed
2 years ago
Highly recommend for anxious patients
Larisa Jones
2 years ago
A terrific experience! Gentle dentist. So convenient to be open on a Sunday. Highly recommended!
Jacqueline Malone
2 years ago
Thanx to Bright Smiles Dental now i hav the smile I've always wanted. I encourage anybody to use them as they hav great customer service and make u feel relaxed and ready for ur treatment.
denis ramuta
2 years ago
Hayley Belfrage
2 years ago
Savi and the team are so fantastic, they take you through each step of what you need, outline the costs and go above and beyond. Prices are VERY reasonable and it’s excellent work they do!!
pardeep kumar jain
2 years ago
Dr. Savi is an excellent dentist in Geelong West, Bright Smiles Dental, who gave me quality composite veneers. The staff was friendly and professional; the whole experience was comfortable, and the results were very natural. I would not hesitate to recommend Dr. Savi to anyone who wants the services of a good Geelong West dentist.
Rodney Robinson
2 years ago
Very good job with fillings
Portia Baak-Coppe
2 years ago
Petra Baak-Coppe
2 years ago
Lilli Bishop
2 years ago
amazing service, super nice dentist. very happy with the service and good prices
Eng Usman
2 years ago
Had my filling done. Dr Savi and staff really helped me come out of my long standing pain.
Great thanks Bright Smiles Dental team.
Great thanks Bright Smiles Dental team.
sean
2 years ago
Carmina Rivas
2 years ago
Had check-up and clean done by Dr Savi, was a good experience, my teeth feels good after!
Kristen Aberdein
2 years ago
Bright smiles were able to fit me in for an emergency filling with short notice , and the service was extremely good , even helping me overcome some anxiety issues
Thankyou
Thankyou
Mitar Lukic
2 years ago
DJ Cop
2 years ago
Vaughn Turner
2 years ago
Super friendly environment & really lovely people. Dr Savi is gentle, offers a high level of care & explains everything in detail. Very positive experience. Thank you. (:
Gagandeep Kaur
2 years ago
Nice staff & Great service 👍
Wayne Fedley
2 years ago
What a find. Woke up with severe toothache on Sunday morning. Bright Smiles were open and able to fit me in. The care given was excellent. Savi and her assistant were highly solicitous and gentle. I also expected to be charged extra for seeing me on the weekend, not the case. Bright Smiles do not have a weekend surcharge. Will be definitely going back to have some long standing issues fixed as their prices are also really affordable.
Jot Bal
2 years ago
We recently visited Dr. Satvinder Kaur for my daughter’s tooth extraction and were highly impressed with the care. Dr. Kaur was gentle and patient, ensuring my daughter’s comfort throughout. The use of happy gas eased her anxiety and made the procedure smooth. Dr. Kaur’s professionalism and kindness were outstanding, and I highly recommend her to any parent seeking a skilled and compassionate dentist for their child.
Scott Abrahmsen
2 years ago
Jason
2 years ago
Bright Smiles made time for me instantly when I called them explaining I had tooth pain on a Friday evening. They were friendly, professional and continually prompt in all stages of managing my issue over the next couple days. The level of care I received was incredible. Highly recommend for anyone needing dental work done.
Nick
2 years ago
The team at Bright Smiles provided exceptional service when I needed an emergency filling, fitting me in the same day. The staff were friendly, informative, and affordable, making sure I was comfortable and well-informed throughout the process. I highly recommend this dental practice
Amreet Kor
2 years ago
Dr Savi was fantastic- really friendly, gave great advice, and did a great job with the clean. I have sensitive teeth and she was very gentle and made sure I was comfortable throughout. This will be my regular dentist from now on!
Briony Mungean
2 years ago
The team at Geelong West Bright Smiles Dental were AMAZING! They ensured I was comfortable throughout the whole treatment & managed my pain so well. Definitely a good experience compared to other dentists I have visited in the past. They were very informative & knowledgeable and explained everything step by step. Would highly recommend!
Monika Bhatia
2 years ago
Really thankful to Dr Savi for getting me out of the tooth pain. She is the best root canal dentist in Geelong.
Thank God she has happy gas available in the clinic for anxious patients like me.
I am really excited for my next clear aligner scan appointment .
Thank God she has happy gas available in the clinic for anxious patients like me.
I am really excited for my next clear aligner scan appointment .
All Health Funds Participating Under HICAPS Accepted
Can’t See Your Health Fund? Contact your provider to see if HICAPS is available on your policy.

























